Medical and health
  • Healthy lifestyle
  • Home
  • Wisconsin
  • Onalaska
  • Valley Dental

Valley Dental

Information Photos Reviews
1637 Main St, Onalaska, WI 54650, USA


Category: Dental Clinic
Address: 1637 Main St, Onalaska, WI 54650, USA
Phone: +1 608-781-3999
Site: valleydental.us
Rating: 4.5
Working: 7AM–7PM 7AM–7PM 7AM–7PM 7AM–5PM 7AM–1PM Closed Closed

Location




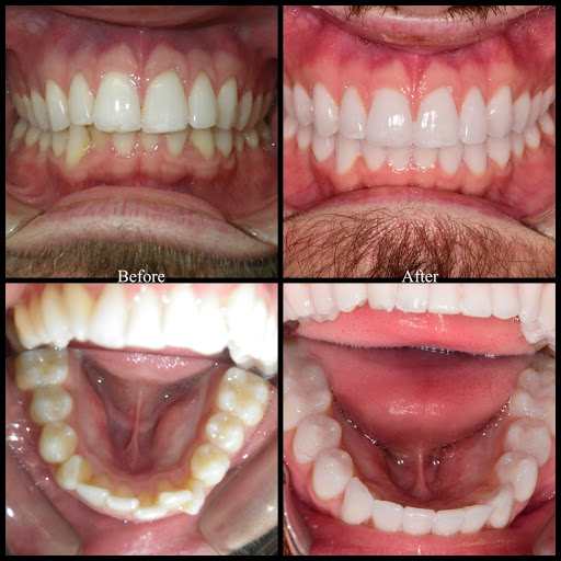
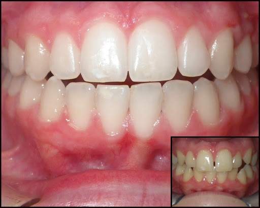
Photos 82

Reviews 3

MA

Marc Hall

Your money or your teeth. I have been a patient for a long time. In the beginning, it was about the patient and his or her teeth. Not today. It is about money now. Over time I began to notice that Valley Dental became aggressive about trying to sell patients things they did not want or need. We were there some time ago discussing orthodontics for the children, and the dentist with whom we were speaking had the phone to her ear and dialing an orthodontist before we discussed anything. I had to politely ask her to please stop. Had I not, she would have pressured us into spending money we did not want to spend. Other little selling tactics crept in. For example, the person cleaning my teeth would ask if I wanted X done to my teeth. I said yes. At checkout I was told I needed to make an immediate payment for it. I paid and said no thanks the next time. Little, but telling. This was the beginning of the upselling. The office staff was reorganized so that instead of walking out, you had to see someone to pay before anything else. You are led to a chair and are seated and asked to pay, often when you did not know that you had incurred a debt because the staff did not tell you. It became very clear that it was no accident that you were not being told. You were also given a sales pitch of a range of options of dental care and dental care accessories while seated in the chair. Gentle, yet pressured. Over time the office began to routinely bill beyond usual and customary. Way beyond. To the point where we had to call after receiving every bill because the amount beyond usual and customary was growing with every visit. Additionally, the billing was very sloppy. There were errors in every bill, and the bill was always skewed in Valley Dentals favor. This was not once or twice. This became an ongoing issue for years. Every bill required scrutiny that required wrangling over the phone. I had an exam and was told I needed to come back to take care of a small issue, Their words. I said ok and made an appointment. At that appointment I was told that the procedure would be lengthy and expensive. I was not told this before. I asked how much total and how much out of pocket. I was shown the total and my out of pocket. I was not able to afford that out of pocket. I had the distinct perception that I had been set up for money. A subtle yet distinct pressure or hustle. As a minimum it was a sin of omission from the previous visit. My instincts told me otherwise. In response to my initial review, Valley Dental wrote,"payment discussions, and payment options are always discussed so that each of our patients are fully aware of what our intentions and procedures are." No, they did not. No, they do not. It was my distinct impression that whomever at my exam quickly hustled me through the x-ray review saying its a small shadow, well get you fixed right up. When I returned for the procedure, I sat down and was immediately that todays procedure is lengthy and expensive. I then asked how much, and then and only then was I shown a printed, detailed break-down of the procedure and the cost. I then said this was never explained to me, the person at that time said sorry, and if I wanted the procedure I had to pay cash or by credit card. They would not send a bill to me. I said I did not have that much money at that time. I said thanks and left. I was once asked if I wanted fluoride applied to my teeth after they were cleaned. There was no mention of money, expense, or incurring a debt. I said ok. The fluoride was applied, and I was directed to a desk and employee I had never seen before. I said, and she said I owed them X amount today. I said for what? She said for the fluoride. I said I was never told that the fluoride would cost beyond anything my insurance would cover. She said I owed them $$.xx. I was hustled or conned into paying for something I did not want. I had an exam six months later. The receptionist said, "Oh, I see that you dont want the fluoride." Is this not a sign of their concern about $?


RE

Redbull002200 insomnia

Maybe our review is an outlier from the rest of the reviews here, but I find it rather suspect that any place, especially this place, is rated as a straight 5.0. Anyhow, The care wasnt the issue. While I was deployed to Afghanistan my wife, who isnt a native English speaker (but speaks English rather well), decided to get some work done in part because of the stellar reviews of this place. Time and time again, whoever was providing the care to her kept selling her stuff outside of our dental insurance plan without even considering what the plan covered. My wife made it clear that she only wanted work done that was covered in our plan. By the time all was said and done (to include multiple appointments) it cost us $800 in work. Our plan isnt "bare bones" either, it covered quite a bit. Why the hell was she advised to get salients? Its common knowledge that salients are primarily needed for kids under 18. The worst wasnt over though. We moved to a different state a few months ago and got a letter from them - MONTHS after work was done, stating that we owed them $100. No explanation/description for the $100 was on the bill (although there is a space for it), no message, just a bill stating we owe them $100. We are treating this as a scam unless we get proper clarification for what we owe them for. Im pretty sure when I called them in Afghanistan they said that everything was finally paid for. I dont advise ever coming here. Only come here to get dental work done if you dont mind being lawyered, nickeled and dimed to death while being persuaded to get work done you dont need that falls outside of your insurance plan. The healthcare/dental system in this country is already a joke as it is without businesses taking advantage of people who dont have a comprehensive understanding of every aspect of their plan.


RY

Ryan Robbert

Excellent was the highest level, or I would have put whatever was the best. Dr. Gavin makes you feel comfortable in a place where I usually am not. My family and I have been coming in for many years and they answer our questions and it truly has been as good as an experience to the dentist office as youll get. I have a personal "trainer" Erin who brightens my day-shes trying to brighten my teeth more, but I dont floss enough! If you are wondering is this the place for me? I think youll feel at home with the TVs above you, or listening to music or other extra perks- Ive been to a lot of dental offices and the VD clinic (oops let me clarify) Valley Dental makes you feel like part of the family. Dr. Gavin and his staff are not only friendly in the office, but I know personally that they also strive to make the community a better place by volunteering their time after work is done. This testimony is heart felt and it comes from someone that isnt the easiest to work with, so take that for what its worth. Get off the computer and call Valley Dental today and set up an appointment.



35 most recent searches


on the mend physical therapy stanley schulman dentist cromwell dr tisdall san antonio pancare dental precision md cosmetic surgery center lenscrafters woodfield west valley mental health st francis of assisi vet san antonio apollo dental mckinney texas mano de cristo dental midwestern dental canton avant garde dental arts giunta dentistry fremaux dental fixari family dental dentist on 19th ave deerfield dermatology heartland grosse pointe burton dental care dr azizi dentist oasis hospital chandler west cobb family dentistry mountain park health center gateway collegeville cat clinic north loop pet clinic houston tx 77022 huron animal hospital rowlett dental associates rowlett tx willamette dental reviews barnett and dulaney eye center dr solomon dermatologist lyndon b johnson hospital emergency room americare healthcare services inc fairdale health clinic coram dental preston trail sports & family chiropractic

Other organizations

DE Dental Clinic of Ona...
MI Midwest Dental Onala...
MI Midwest Dental La Cr...
SM Smile Stars Pediatri...
BI Biggio Dental Care
RA Rabel Family Dentist...
MI Midwest Dental La Cr...
MI Midwest Dental La Cr...
GA Galliano Family Dent...
AS Ascension Premier De...
BR Bruns Family Dental ...
GE Gentle Family Dentis...

Photos

Photos of reviews

  • Back to top
  • Home
  • Healthy lifestyle

© Medical and health 2015-2026