Medical and health
  • Healthy lifestyle
  • Home
  • new york
  • Mt Kisco
  • Westchester Dental Care-Mount Kisco NY Dentist

Westchester Dental Care-Mount Kisco NY Dentist

Information Photos Reviews
103 S Bedford Rd #103, Mt Kisco, NY 10549, USA


Related: aestheticare dental
Category: Dentist
Address: 103 S Bedford Rd #103, Mt Kisco, NY 10549, USA
Phone: +1 914-241-2242
Site: westchestertopdentist.com
Rating: 5
Working: 10:30AM–7PM 10:30AM–7PM 7:30AM–3:30PM 7:30AM–3:30PM 8AM–4PM Closed Closed

Location




Photos 93

Reviews 6

WI

William Weber

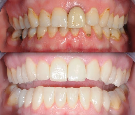
This was the first dental office that I have been to that I can say provides an enjoyable experience. Dr. Abel was very professional. He took the time to explain exactly what he was going to do before he did it so there were no surprises. There was also NO pain! I didnt feel a thing. I had 2 crowns done because I broke 2 teeth. I am in temporary crowns now that feel great and look better than my own real teeth. Then I saw the hygienist and had a cleaning done. Catherine, the hygienist did a wonderful job. She got all the stain off my teeth and sent me home with a great looking smile. Sharon, Dr. Abels assistant was so kind and went out of her way to make sure I was comfortable today too. Overall a great experience. This office gave me the Ritz Carlton experience. Its too bad I can only give them 5 stars. This is a 10 star office! Dr. Abel and team, youre the best! Thank you.


BE

Beth Schwartz

Just had a smile makeover by Dr. Abel at Westchester Dental Care in Mount Kisco NY. I have to say that this is the BEST dental experience of my life. My teeth look fantastic. My whole face actually looks younger. Not only did he fix my teeth so that I can smile again, he did it while keeping me comfortable at all times. I have to thank my neighbor, Joan, for referring me to Dr. Abel. She has been seeing him for years. I admired how her teeth looked and she told me that Dr. Abel did her veneers. Well, now I have a fabulous smile too. Thanks Joan. And Thanks Dr. Abel. I love you guys and have finally found a caring dental office that makes me feel comfortable. You guys Rock! Beth, Bedford, NY


A

A Private User

I have been seeing Dr. Abel now for about 10 years. He takes care of my entire family and we all love him. He and his entire staff are amazing. I just finished having a cosmetic makeover, and I have to tell you, my smile is just beautiful. I look about 10 years younger and my smile looks terrific now in pictures. Im excited now to take a family picture this Christmas. For the first time in years Ill be able to smile a great big happy smile! Thanks so much Dr. Abel. If anyone is looking for a great dentist and an office that treats their patients like a family member, this is the place to be.


PE

Pete Welch

I came to Dr. Abel and his staff having had a horrible experience with a previous dentist which left me with more than a years worth of pain, frustration, and bills. Dr. Abel and his staff immediately diagnosed the problems and set about fixing them -- I can now drink hot and cold drinks and chew pain free again. THANK YOU.


EM

Empire State Crossfit North

Dr. Abel is an amazing dentist and his staff are wonderful people. I always leave with a smile!


CI

cindy fouhy

Thank you Dr. Abel for making me smile again!



35 most recent searches


animal hospital lakewood ranch sliding scale dentist asheville nc dr hardy eye doctor patient first pottstown western iowa dental children's urgent care hamilton mill itasca animal clinic value vet mclean byroad chiropractic north texas gynecologic oncology dr denka peggy wongsa md svs vision monroe total health dental tigard go health staten island best bites dental asheville nc suncoast animal clinic brookdale palma sola bradenton fl does costco optical accept care credit lij dental clinic lenscrafters west town mall knoxville tennessee la altura pediatrics san antonio santarelli dentist ocean hills dentistry dr rogers dermatology greenville columbus springs dublin changes all smiles dentistry phoenix quest lab kissimmee fl klahanie eye care vca oak hills urgent care forest drive columbia sc annandale gynecologist padgett medical center castle dental nashville covenant care clarksville tn

Other organizations

AD Advanced Dentistry o...
RO Roshe Dental Group
HA Hanswirth Dentistry
PE Pearl Dental
WE Westchester Dental G...
MA Marble Dentistry
PE Petrucco Dentistry
QU Queens Dental Profes...
GR Great Neck Dental Ar...
AE AesthetiCare Dental
IN Inwood Dental Care C...
DE Dental Made Easy

Photos

Photos of reviews

  • Back to top
  • Home
  • Healthy lifestyle

© Medical and health 2015-2026