Medical and health
  • Healthy lifestyle
  • Home
  • California
  • Whittier
  • Saman Edalat, DDS

Saman Edalat, DDS

Information Photos Reviews
13431 Telegraph Rd, Whittier, CA 90605, USA


Category: Dentist
Address: 13431 Telegraph Rd, Whittier, CA 90605, USA
Phone: +1 562-946-2838
Site: edalatdentalgroup.com
Rating: 5
Working: 10AM–7PM 9AM–6PM 9AM–6PM Closed 9AM–6PM 9AM–2PM Closed

Location




Photos 29

Reviews 4

CR

Crz Duarte

I have been a patient of Dr. Edalat for the past four years, and I highly recommend him. Ive been living in LA for the past six years, and my first two years I just went to different dentists. Two years ago, Dr. Edalat moved to this new location, but it was too far for me (almost 45 min drive without traffic). So, I tried a few other dentists that were closer to my house. I went from not having any cavities, to needing crowns or multiple cavities, according to some of those dentists. I never felt that warm patient-doctor relationship. I feel Dr. Edalat is an honest Dentist, and truly, genuinely cares about his patients. Therefore, Im gladly making the 45 min drive back and forth every 6 month, knowing my teeth are in good hands. He takes his time to explain carefully what he is doing, and why he is doing it. Moreover, if there is a problem, then he gives me a thorough explanation of what is needed to get it fixed, and what happens if it is not fixed.


MI

Milly Brabcová

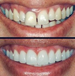
Definitely the best dental office with the nicest and very professional staff!! I lost part of my tooth and Dr. Edalat was able to help me in just a couple of hours although his office was super busy that day!! He fixed my tooth with no pain and took pictures before and after to show me what exactly he did. He also explained everything he did and told me how to take a better care of my teeth. There was absolutely no wait between the time I walked in, filled out paperwork, did my X-rays and got my tooth fixed. Dr Edalat did an awesome job!!! Im definitely going back!! Everyone in the office was very friendly, super helpful and made me feel very comfortable! I highly recommend this dental office!


PA

Paulina Yim

I was embarrassed and nervous walking in having not gone to the dentist in a while. And plus, who likes going to the dentist? However, walking in, with fear written all over my face, Dr. Edalat and his staff made me feel so comfortable and at ease trying to make me laugh so I wouldnt think about it too much. I kept stopping them whenever I felt anxious but he was so patient with me which made me feel so cared for. I also loved the fact he was so precise and thorough! I would definitely recommend him to all my friends!


NA

Nathan Gonzalez

Very professional all staff and polite I was extremely satisfied and happy and seen quickly by the Dr.very satisfied .Sonia Mendoza.



35 most recent searches


east hills animal clinic jewett walk in clinic white pine saginaw sexton dental prices in florence sc cora physical therapy winter haven winter haven fl 33880 christiana care medical aid unit at christiana banfield pet hospital pinecrest changes columbus springs pamoist pet hospital medhelp 280 brident dental waco dr dental braintree ma quality eye care sugarloaf mills inverness animal hospital advantageliving net dr watson pensacola la crosse pediatric dentistry llc westlake dermatology reviews belle vernon medexpress walgreens medexpress signature dental greenwood indiana ace dental center hoffman estates banfield james island dr tinsworth bradenton fl north center animal hospital eskenazi pecar little smiles of surprise agape animal clinic panama city fl family dental white horse rd greenville sc locust dental phone number dr brian procter northwoods dental spa animal clinic bayonne nj bountiful hills eye center windermere veterinary services

Other organizations

BL Bloomfield Dental Ce...
EN Enhance Dental
UP Uptown Dental Group
MA Maria Kim DMD
BR Brian Snaer Inc Dent...
SO South El Monte Denti...
AT Atlas Dental Care
GE Gentleone Dental
BE Bella Dental
DR Dr. Thomas N. Trinh,...
TA Tantra Djaya DDS
DR Dr. Dora Lee, DDS

Photos

Photos of reviews

  • Back to top
  • Home
  • Healthy lifestyle

© Medical and health 2015-2026