Medical and health
  • Healthy lifestyle
  • Home
  • Connecticut
  • Stratford
  • Advanced Dentistry of Connecticut

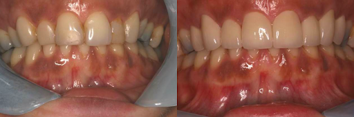
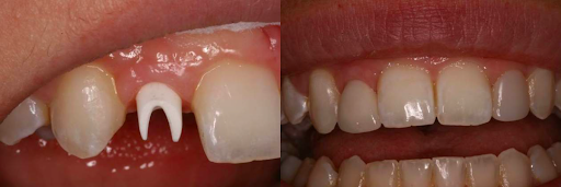
Advanced Dentistry of Connecticut

Information Photos Reviews
2318 Main St, Stratford, CT 06615, USA


Category: Cosmetic Dentist
Address: 2318 Main St, Stratford, CT 06615, USA
Phone: +1 203-375-1649
Site: advanceddentistryofct.com
Rating: 4.8
Working: 8AM–5PM 8AM–8PM 8AM–7PM 8AM–8PM 9AM–1PM 9AM–1PM Closed

Location




Photos 17

Reviews 12

T

T Cooper

Cancellation & No Show Policy: Rescheduling must be given 48 hours before the appointment time. You may be rescheduled if you are more than 15 minutes late and you will be charged a $50 cancellation fee if you do not show for your scheduled appointment or if you cancel within 48 hours of your appointment. If you fail to keep more than 2 appointments without advance notification, you may be restricted to a walk in or time available basis. Per the policy above, there is no reason I was treated the way I was for missing one appointment! I called up today to reschedule an appt I missed in Nov to be surprised that I cannot and my kids routine for mar has been canceled! The office staff was very rude to me the day of the missed appointment, even the hygienist got on the phone to reprimand me after I took 100% responsibility for missing the appointment. I am shocked a dentist office would treat their patients this way after 4 members if my family had history here.


NI

Nikita Alex

I got into serious trouble with my tooth last night at 1am in the morning and I was desperate and did not know how in the World I am going to get it fixed on Saturday! I called at 1 am to Mr. Reza Radmand Advanced Dentistry office and left a voice mail with hope that I possibly can get appointment for at least for Monday. What a surprise I had when I got appointment for Saturday (that same day) and all my troubles are now taken care of! This is something you cant find in too many places where care, quality, customer service and price meet or, I should say, exceed expectations! I already booked appointment for September to take care of some other issues I have with my teeth - thats how much I trust and love Mr. Reza Radmand! All you can wish for is there - I would highly recommend to everyone Mr. Reza Radmand Advanced Dentistry! Thank you so much. Sincerely, Nikita Alex CEO, Cleaning Service CT


JA

Jamie Romano

I have been to a lot of dentists the most recent was so horrible I walked out of in the middle of my childrens visit. I found Advanced Dentistry of Connecticut they were very plesant on the phone. The receptionist Danielle had half of the paperwork filled in when I got there. The staff was very welcoming and my two very shy children warmed up to them immediately. They were very efficient. I look forward to taking my children back here and going myself.


RO

Robert Kipp

I cant say enough great things about the team and experience at Advanced Dentistry! I am always been greeted with warm smiles of the staff, handled with great care with the hygienist, and thoroughly examined by Dr. Radmand each visit. The clinic is clean and the equipment is very current and high-end. Ive referred friends and family and anyone who needs a dentist. A+ all the way!


KA

Kamran Moody

I was referred to Dr Radmand by a friend and I took an opportunity to become one of his new patient. Every step of my visit from arriving and being greeted to my routine cleaning which was performed accordingly and finally meeting Dr Radmand has been easy going and pleasant. In addition, the office and its location is very convenient. Thanks and looking forward for next visit.


NI

Niki Melissaratou

I have been visiting the practice for the past three years and i have only good things to say! everyone is very polite and professional .the girls at the front desk are always helpful.appointments are always on time with no waiting time.dr.Radmand and Alyssa are the best team! i highly recommend this dentistry!


SH

shellbeast squirtle

Every one is super nice and happy. You feel relaxed because every one is so nice. They genuinely care about me and not my money. I was really impressed by the level of service and care I received. I am so happy both of my children are now going here as well. I would recommend them to everyone.


DA

David Vadnais

I highly recommend this practices. What is usually a difficult appointment to keep is made so easy and comfortable by the amazing staff. I also feel my teeth have never felt or looked better sense I started with this practices.


KA

Kathy Beardsworth

Dr. Radmand and his staff provided my mom top notch dental care coupled with kindness, compassion and a healthy dose of humor. I couldnt ask for any better care for her.


RO

Rod Taheri

Very knowledgeable, and a genuinely good person. Dr. Radmand goes above and beyond for the comfort and care of his patients.


MA

Maximillian Augustus Daley

Had a tooth pulled out today. It was quick and expedient. Also inexpensive coming from someone who paid for it uninsured!


MB

mbtaylor222

excellent and compassionate care



35 most recent searches


holistic dentist clearwater eye associates coralville dr tavel family eye care sage dental waterford lakes reviews the corner vet houston tx bridger eyecare cac florida medical center la michoacana dental dixie dental daphne al reviews kilmore eye associates royer vet va hospital kernersville nc chc south everett vista hills nursing home town center vet colleyville dixieland dental midland city alabama brevard health alliance titusville dr sevigny sebring fl banfield headquarters skokie family clinic greenberg dental clermont fl greenberg dental kissimmee urgent care satellite blvd duluth ga ka dental group city vet white rock visionworks camp hill pa pomona pet hospital jack hosner dentist portage mi dr joseph lee dds bayfront dental rochester ny vca emergency animal hospital & referral center san diego ca princeton dermatology bunn drive sunridge medical kelsey seybold individual insurance plans landsdowne animal hospital

Other organizations

DE Dental Center of Hun...
HU Huntington Family De...
SH Shelton Dentist
LU Luciano Marini, DMD
MO Mondovi Dental Shelt...
DR Dr. Kenneth F. Oleyn...
GO Goldberg & Marcus De...
MO Mogelof Dental Group
MO Modern Family Dental
TE Terry S. Shapiro, D....
GE Gentle Dental - Port...
DR Dr. Leonard T. Fazio...

Photos

Photos of reviews

  • Back to top
  • Home
  • Healthy lifestyle

© Medical and health 2015-2026