Medical and health
  • Healthy lifestyle
  • Home
  • Florida
  • Fort Lauderdale
  • JJ Dental Cosmetic Dentistry

JJ Dental Cosmetic Dentistry

Information Photos Reviews
30 NE 3rd St, Fort Lauderdale, FL 33301, USA


Category: Dental Clinic
Address: 30 NE 3rd St, Fort Lauderdale, FL 33301, USA
Phone: +1 954-463-7262
Site: jjdentalpractice.com
Rating: 5
Working: 8:30AM–5PM 8:30AM–5PM 8:30AM–5PM 8:30AM–5PM 8AM–5PM Closed Closed

Location




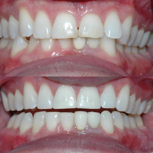
Photos 100

Reviews 15

LU

Luisa S

Excellent experience! I was so impressed with Dr. John from the moment he came in and introduced himself. Besides a beautiful personality, he is so gentle, caring and honest. What a professional and great dentist. I needed to have extensive work and every visit was very pleasant and painless. My teeth look absolutely and amazingly natural and they fit so nicely. My family and friends have been so impressed with my beautiful smile! The office is a very comfortable environment and the staff is so pleasant, helpful, kind and very professional. Every concerned I had was met promptly and an accommodating solution found without hassle. They were always on time and ready to take me in for my appointments without any waiting or delays. I have recommended this dental office and Dr. John to my family, friends and all I meet. I cannot say enough nice things about this practice. As for me this is the only dentist I ever want to see. FIVE STARS FOR EXCELLENCE! Josie B


CH

Chad Seaman

I moved to the Fort Lauderdale area from California, I had some existing temporary work in place until I found a regular dentist in the area. I ended up shattering a temporary crown at lunch time. I called up JJ Dental and explained I had a bit of an emergency with a broken crown and exposed existing root canal, hoping theyd be able to squeeze me into their schedules the following day. I was told to come on in right then and there, I thought a walk in appointment at a dentist wasnt even an option. The staff were all very friendly and in about 2 hours time I had X-Rays, a dental exam, a full cleaning, and a new temporary crown put in place until the real thing can get squared away. My experience was stellar and I wouldnt hesitate to suggest any of my friends or family here.


PR

Priscilla Fletcher

My existing dentist had merged with this practice leaving me undetermined about the future. When practices change from old to new so do the options. Today was my first consultation with one of the new doctors. My visit was professional and the doctor took his time to discuss my history and future plans with my dental health. This keeps me optimistic on returning to them to try a new set of hands for my dental needs. The office staff seemed very nice and proactive and knowledgeable on their profession and I cant wait to build a relationship with this new dental team. As a business owner myself you pay attention to detail and they did not skip a beat. I will recommend them to my friends and family.


VI

visual active

What price can we put on "consistency"? What makes a great "dental experience"? Options, stable relationships the same support staff for years cordial hand off of a great dentist (Marsha Eisenberg) to a pair of great dentists Dental hygienists who take time to explain WHY we have to get plaque off the teeth (and they dont scold too much).... What more can I write? You should be coming here for your dental care. Its preventative care, too. I just got a night guard and it fits well and now Im protecting my enamel even better. Hooray for JJ Dental


CO

Corinna Gilson

I HIGHLY reccommend JJ Dental. Dr. John is amazing. I honestly dont think that Ive ever actually looked forward to going to the dentist. I sent all of my co-workers there and all of them had a great experience. They are gentle and thorough and have personality. I was very comfortable there. Not to mention he was able to get rid of the sesitivity in my teeth that Id been experiencing for a few years in one appointment. Appointments were easy to make, staff is wonderful and they remember you. I wont be going anywhere else any time soon :)


MI

Michele Fernandes

I HATE going to the dentist. But the staff at JJ Dental were amazing. Very friendly, supportive and comforting when you have such anxiety when you sit in a dentists chair. I had several procedure done. i am going back for my third office visit in october. I WILL NOT go anywhere else. I am going to bring in my husband also. I got an email to remind me and confirm my appointment. I work and got to school full time and it is very easy to forget to go to an appointment. I cant say enough about how great my experience was.


SO

Sophia Stone

New to this area, I had a great experience with JJ Dental. The staff were very friendly and responsive to phone calls, and the office was beautiful. I received great service during my visit, and Dr. John did not seemed rushed while answering many of my questions regarding TMJ treatment. They have an efficient process for charging and handling insurance as well. Overall, I had as good an experience as one can have at the dentist and look forward to referring my friends.


TO

Tolan D

Best dentist in Ft. Lauderdale. I miss them, I moved up to Virginia Beach but continue to recommend JJ to everyone back in FLL. I was being taken for a ride at my previous dentist, they were making me get filling after filling and prescribing unnecessary treatments. As soon as I went to JJ they made me realize I was having treatments that were totally unnecessary. Now that I have switched to a dentist up here in Virginia it is further proof. JJ is the best.


CH

chris evans

I never rate anything ever in my life 5 stars, but I had 2 wisdom teeth extracted at jj dental today, and its 1 hour later, and I am pain free and back working on seo. Dr. John must be a magician, because he got my tooth out in what seems liked maybe 2 minutes, each tooth, I didnt feel a thing, maybe some slight pressure, but absolutely 0 pain, ZERO. I have put off the dentist for 6+ years, and never again. John and JJ dental are 100% pros.


MI

Mike Serrano

JJ dental is conveniently located next to downtown ft Lauderdale which makes it easy for me to schedule appts during the morning hours on my way to work or during the day around my lunch time. The staff is great and my appts are always kept on time which is great when i have an appt during lunch. i highly recommend JJ dental to anyone looking for a dentist in the fort lauderdale area


JO

Joshua Theberge

Great dental office. Updated, clean environment. Modern equipment and friendly staff. I definitely have been looking for a good dental office in Fort Lauderdale and have finally found one. Dr. Cook and his staff is very professional and do great work. Im a dental chicken and they made me feel comfortable and the work they did was painless. Highly recommended!


IA

Ian Whiteman

Dr John is the absolute best. I would not recommend another doctor in the Ft. Lauderdale area. He is more than fair with pricing and willing to do anything for his clients. He even fixed a friends broken tooth after hours on a weekend on his own free time and did it for an unbelievable price.


MA

MARIA PACHECO

What an amazing dentist! JJ and his staff are very friendly and passionate about their work and greeted me the second I walked in. The office is beautiful and CLEAN! Very modern and updated. Thanks! Definitely check him out and visit his website.


SU

Susan Hendriks-Colucci

Thorough and the Dental experience was a nice one considering I am one of those who pardon me dont like the Dental experience. The staff from the Receptionist, Financial to the Dental Assistants are professional and personable. Thank You. Susan.


MA

Matthew Geary

"Awesome dentist", said no one ever, but seriously for a place people go to because they have to, it is the best dentist. They use the newest technology and techniques, and the office is clean and the staff are friendly.



35 most recent searches


machado dental center miami health first urgent care gateway melbourne fl southlake animal crossing merit dental westerville alpharetta smile center trinity mother frances er tyler tx vivid dental plan sheppard pratt day program novus clinic tallmadge myeyedr southbury ct sweet smiles family dentistry milwaukee pediatric dentistry walzem sacramento native american health clinic dr stashower dermatologist fairfax va upmc st margaret family health center clairpointe family dental totowa animal hospital barberton vet clinic howitt and paris eye care companion animal clinic gainesville dental care of south brunswick pediatric associates port st lucie the eye gallery sandy springs kaiser permanente capitol hill medical center le petite dentist arkansas browning animal clinic sunridge cancer center dental town cumming dentist in springfield tn just paws animal hospital visionworks homestead elizabethtown physicians for women opticology eyecare plains veterinary clinic willamette dental reviews

Other organizations

EX Excel Dental Incorpo...
JU Jupiter Dental Group
DE Dental Center at Ave...
SE SEDA Dental of Jupit...
WE West Penn Dental Cen...
NO North Miami Dental I...
GR Great Expressions De...
MC McKees Rocks Dental
FA Fain Dental Arts: Sy...
LL LLERA Dental
AI Aida M. Lopez Dental...
DE Dentistry by Design

Photos

Photos of reviews

  • Back to top
  • Home
  • Healthy lifestyle

© Medical and health 2015-2025